La polmonite continua a rappresentare una significativa minaccia per la salute pubblica, causando circa 11.000 decessi all’anno in Italia. Questo articolo esplora la storia della polmonite, i suoi sintomi distintivi e le complicanze a lungo termine, evidenziando l’importanza delle vaccinazioni e delle terapie mirate.
Un Viaggio Storico della Polmonite

La polmonite ha radici profonde nel tempo, affliggendo l’umanità fin dai tempi di Ippocrate. Nel XIX secolo, era una delle principali cause di mortalità, esercitando un impatto non solo sulla salute ma anche sull’economia. I lunghi tempi di guarigione spesso comportavano disabilità permanenti, riducendo la capacità dei pazienti di ritornare alle loro attività quotidiane.
La scoperta degli antibiotici e delle vaccinazioni ha notevolmente ridotto la mortalità legata alla polmonite. Tuttavia, l’antibiotico-resistenza rimane una preoccupazione crescente. Secondo uno studio dell’Istituto Superiore di Sanità del 2022, nel 2019 circa 4,95 milioni di decessi erano associati alla resistenza antimicrobica, una cifra paragonabile al tasso di mortalità per malaria e HIV combinati.
Sintomi Iniziali e Diagnosi della Polmonite
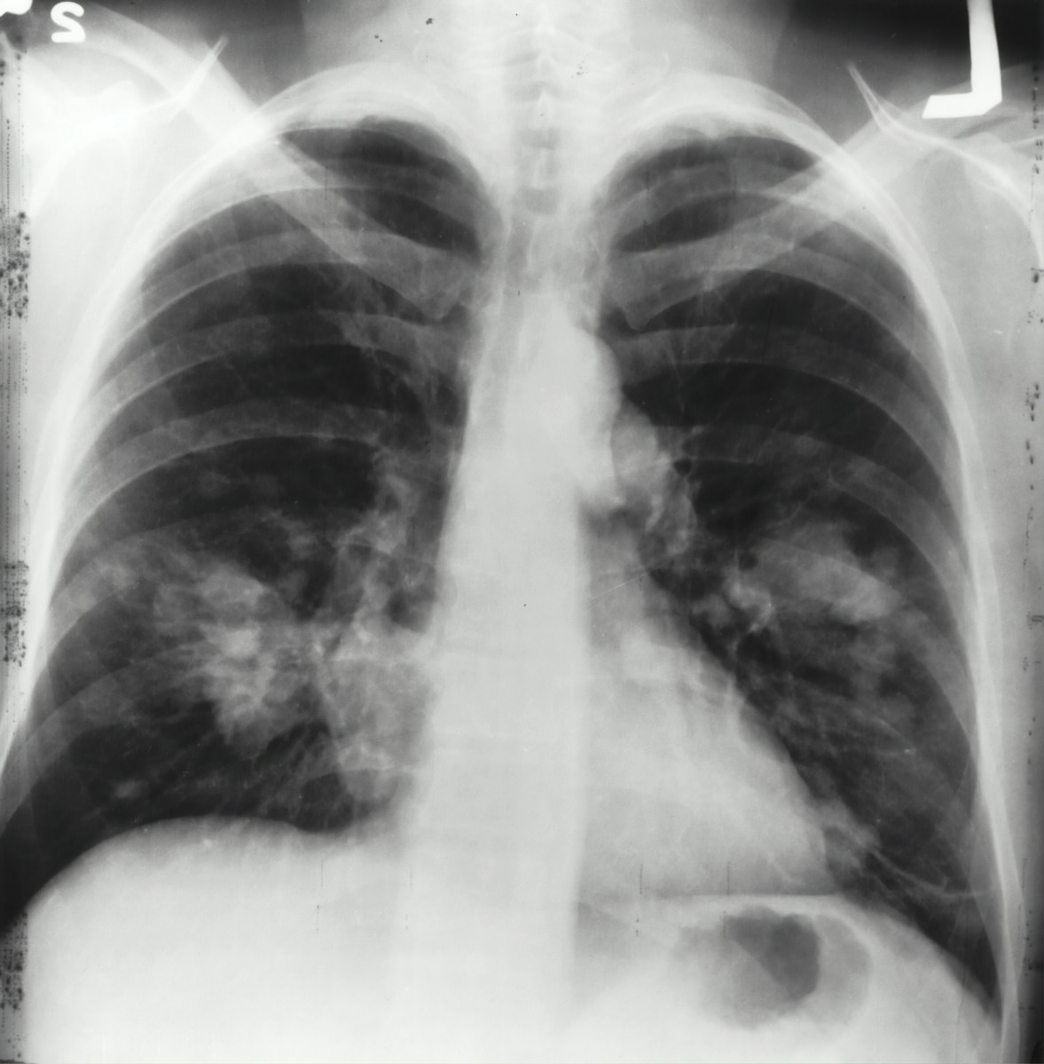
La polmonite si manifesta come un’infezione respiratoria che coinvolge gli alveoli polmonari. Tra i sintomi principali figurano tosse persistente, febbre alta, brividi, e fiato corto. L’insufficienza respiratoria e l’emoftoe, ovvero lo sputo sanguinolento, possono indicare casi più gravi.
La differenza tra polmonite e broncopolmonite risiede nella localizzazione dell’infezione. La broncopolmonite colpisce multipli focolai alveolari, mentre la polmonite lobare interessa una parte specifica del polmone. Il riconoscimento della specifica natura dell’infezione è cruciale per il trattamento corretto. Esami come quello dell’escreato aiutano ad identificare il patogeno responsabile, guidando la scelta dell’antibiotico più efficace.
Complicazioni e Trattamenti Attuali

Le complicanze della polmonite includono insufficienza respiratoria e coinvolgimento della pleura. In alcune istanze, possono verificarsi emottisi, specialmente in presenza di infezioni da Klebsiella pneumoniae. Il trattamento varia in base al tipo di polmonite e alle condizioni del paziente. Le infezioni batteriche possono risolversi in circa una settimana, mentre quelle micotiche richiedono più tempo per essere debellate.
Le conseguenze a lungo termine, come la fibrosi polmonare, possono limitare la capacità respiratoria. La gravità delle sequele dipende dall’estensione del danno tissutale e dalle condizioni preesistenti del paziente. Nei soggetti con complicazioni preesistenti come bronchite cronica, le conseguenze possono essere più gravi.
Prevenzione e Vaccinazione
Vaccinarsi contro lo pneumococco è altamente consigliato per gli anziani e le persone immunocompromesse, poiché questo batterio è una delle principali cause di polmonite. Sebbene il vaccino non copra tutti i patogeni possibili, rappresenta una misura preventiva essenziale.

